Articles

Articles

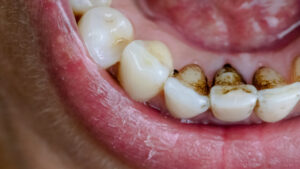
Am I a Good Candidate?

To find out whether you are a good candidate, schedule an appointment with our dental clinician for

an initial consultation. Once the assessment of your dental health is done, our clinician will work with

you to develop a treatment plan that is right for you.